牙龈溢脓的初步诊断和治疗

发布时间: 2020-07-29 14:14:53 共浏览740

  平遥的高女士患有牙周炎,这些天她的牙龈肿胀充血,牙周袋溢脓。高女士很害怕,这可怎么办好啊?
 
  牙龈溢脓是牙齿疾病的一种症状表现,给我们造成很多的不便。 

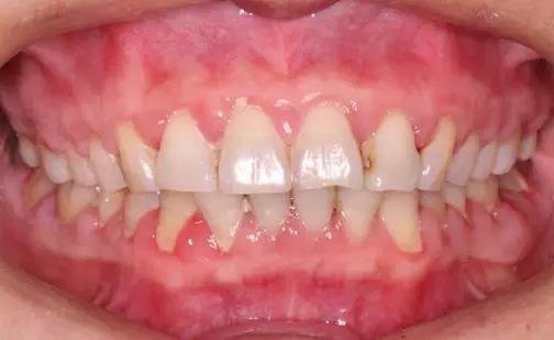
  山西盛大齿科医院医生指出,牙龈溢脓,牙周袋壁有溃疡及炎症性肉芽组织形成,袋内有脓性分泌物存留,故轻按牙龈,可见溢脓,并常有口臭。
 
  牙龈溢脓的原因是什么?
  口腔卫生查,牙周病未及时治疗,牙髓炎长期得不到治疗,都会引发牙龈溢脓。

  牙龈溢脓的初步诊断和治疗
  牙龈溢脓临床症状:牙龈肿胀渗血,牙周袋溢脓,牙龈萎缩,牙根暴露,牙齿松动移位,牙周脓肿疼痛。

 
  治疗方法:
  如果是全口牙周情况很差,要积极进行牙周治疗,牙周刮治上药; 
  如果是某个牙齿有牙龈溢脓,那么有可能是牙髓炎未及时治疗导致的有瘘管,脓液流出。需要进行彻底的根管治疗。

  山西盛大齿科医院医生指出,牙龈溢脓是牙齿疾病的严重表现,建议广大患者及时到正规齿科医院就诊。同时,在日常生活中注意口腔卫生,刷牙时轻叩按摩牙龈;注意生活起居劳逸结合都可以对牙龈溢脓起到很好的预防作用。

 

下一页: 牙龈溢脓怎么办?
上一页:乳牙牙龈溢脓治疗注意事项